Sonnenlicht vs. Vitamin D: Einfluss auf die Knochen
Sonnenlicht und Knochengesundheit werden meist ausschließlich über den Vitamin-D-Spiegel betrachtet. Diese Verkürzung greift zu kurz. Neue experimentelle Daten und physiologische Analysen zeigen, dass Sonnenlicht ein eigenständiger Regulationsfaktor des Knochenstoffwechsels ist – unabhängig vom gemessenen 25(OH)D-Wert im Blut.
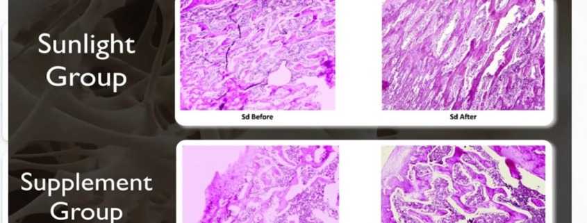
In Tierexperimenten führten Lichtreize zu dichteren Trabekelstrukturen, mehr Osteoidbildung und niedrigeren Parathormonwerten, obwohl der Vitamin-D-Anstieg nicht stärker ausfiel als unter Supplementgabe. Damit rückt ein zentraler Punkt in den Fokus: Knochen reagieren nicht nur auf Nährstoffe, sondern auf biologische Signale. Sonnenlicht wirkt über Haut, Gefäßregulation, Hormonachsen und den zirkadianen Rhythmus.
Diese Systeme beeinflussen Durchblutung, Stresshormone, Mikrozirkulation und damit die Remodelling-Prozesse im Knochengewebe. Der Knochen ist ein metabolisch aktives Organ, kein statischer Mineralblock. Wer Knochengesundheit nur auf Vitamin D reduziert, übersieht wesentliche Steuermechanismen. Im Folgenden zeige ich Ihnen, welche physiologischen Prozesse durch Sonnenlicht aktiviert werden und was das konkret für Prävention, Osteoporoserisiko und praktische Empfehlungen bedeutet.
Worum geht es?
Die Sonne gilt in der öffentlichen Wahrnehmung fast ausschließlich als Vitamin-D-Quelle. Das greift aber zu kurz und ich erwähne das auch immer, wenn ich sage, dass ich mein Vitamin D im Winter einnehme, wenn die Sonne scheint.
Ich erhielt dann immer die Frage: Warum?
Nun, neue experimentelle Daten und physiologische Zusammenhänge deuten darauf hin, dass Sonnenlicht ein eigenständiger Regulationsfaktor der Knochengesundheit ist – und zwar unabhängig vom gemessenen Vitamin-D-Spiegel im Blut. In Tierexperimenten zeigten sich unter Sonnenlichtexposition dichtere Knochenstrukturen, mehr Osteoid und niedrigere PTH-Werte, obwohl der Vitamin-D-Anstieg nicht stärker ausfiel als unter Supplementgabe. Das legt nahe: Hier wirkt mehr als nur ein Vitamin. Was mir eigentlich als Naturheilkundler immer klar war, findet langsam eine Bestätigung.
Sonnenlicht ist kein isolierter Reiz, sondern ein biologisches Signalsystem aus UV-, sichtbarem und infrarotem Licht. Diese Wellenlängen beeinflussen die Haut, die Gefäßregulation, den Hormonhaushalt und den zirkadianen Rhythmus. Genau diese Faktoren sind für den Knochenstoffwechsel hochrelevant. Ein erhöhter Parathormonspiegel etwa fördert den Knochenabbau. Lichtreize über die Haut können offenbar regulatorische Signale auslösen, die PTH senken und damit katabole Prozesse im Knochen dämpfen – ein Effekt, der durch reine Supplementierung nicht in gleicher Weise adressiert wird.
Hinzu kommt die photobiologische Freisetzung von Stickstoffmonoxid aus der Haut. Dieses erweitert die Gefäße, verbessert die Mikrozirkulation und damit die Nährstoffversorgung des Knochengewebes. Knochen ist kein statisches Material, sondern hochaktives Gewebe, das auf Durchblutung, Sauerstoff und Energie angewiesen ist. Eine bessere Mikrozirkulation bedeutet bessere Remodelling-Prozesse. Tabletten liefern Nährstoffe, aber keine vaskulären Lichtsignale.
Ein weiterer Aspekt wird häufig unterschätzt: die hormonelle und neuroendokrine Wirkung von Tageslicht. Sonnenlicht moduliert Serotonin, stabilisiert den circadianen Rhythmus und kann chronisch erhöhte Cortisolspiegel senken. Dauerstress und Rhythmusstörungen gelten als stille Beschleuniger des Knochenabbaus. Wer dauerhaft unter künstlichem Licht lebt, spät ins Bett geht und morgens kaum natürliches Licht erhält, beeinflusst damit indirekt auch seinen Knochenstoffwechsel – unabhängig davon, wie hoch der Vitamin-D-Wert im Labor ist.
Diskutiert wird zudem die Bildung sulfatierten Vitamin D unter Sonnenlichteinfluss, das wasserlöslicher sein und sich anders im Gewebe verteilen könnte. Diese Hypothese ist wissenschaftlich noch nicht abschließend geklärt, zeigt aber eine wichtige Richtung: Die biologische Wirkung von Sonnenlicht lässt sich nicht auf einen einzelnen Serumwert reduzieren. Ein normaler 25(OH)D-Spiegel bedeutet nicht automatisch eine optimale Lichtbiologie im Organismus.
Praktisch heißt das: Moderate, regelmäßige Sonnenexposition auf möglichst großer Hautfläche ist ein relevanter Baustein der Knochengesundheit, nicht nur ein Mittel zur Vitamin-D-Produktion. In nördlichen Breiten bleiben Supplemente im Winter sinnvoll, doch sie ersetzen kein natürliches Licht. Entscheidend sind zudem Kofaktoren wie Magnesium, Vitamin K2, Vitamin A und ein stabiler Tag-Nacht-Rhythmus. Knochengesundheit ist kein Ein-Nährstoff-Thema – sie ist ein Regulationsgeschehen. Und die Sonne wirkt dabei eher wie ein Taktgeber als wie ein bloßer Vitaminlieferant.
Übrigens: Wenn Sie solche Informationen interessieren, dann fordern Sie unbedingt meinen Praxis-Newsletter mit den „5 Wundermitteln“ an:
Kleine Anmerkung: Die Sache mit den „5 Wundermitteln“ ist mit Abstand der beliebteste Newsletter, den meine Patienten gerne lesen…









